Cosmetic Bonding
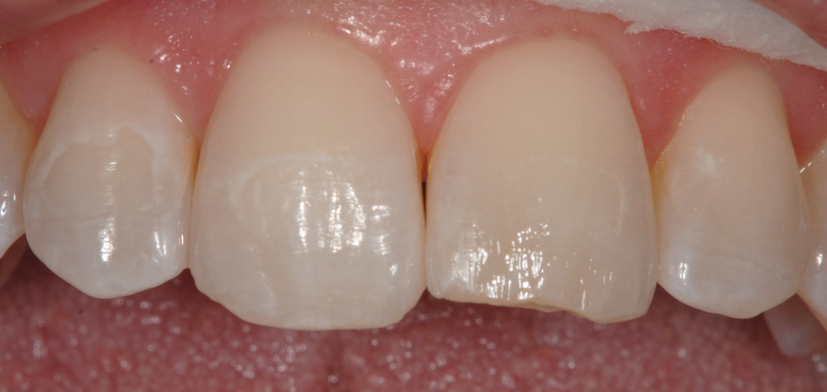
Whether you need to close a space between your front teeth or repair a chip that you have had for years, cosmetic dental bonding will seem like magic. In one short appointment, we will erase your anxiety, increase your confidence and provide the smile you desire. Call us at 303-799-9993 to schedule with our dentist in Lone Tree, Colorado

How will you feel without chipped teeth? Not Embarrassed!
Why Invest in Dental Veneers? A beautiful set of veneers will give you the confidence and appeal to live your best life. Your Smile is About You….How Do You Want to Feel?
Learn MoreAs adults, many of us do not want bulky braces interfering with our professional careers. Invisable aligners offer an affordable discreet alternative. How would straighter teeth and perfect smile make you feel?
Learn MoreWant to look younger? Has your smile yellowed or become dull over the years? Dr. Osborn offers several options to meet your budget and make your smile look 10 years younger!
Learn More